証券会社の注目記事はどうかの掲示板
-
1342
>>1340
人工ウイルスそのものか
参考文献
コロナウィルスには見られないHIV(AIDS)ウィルスの様な挿入を発見しました。
とな -
>>1340
By Jason Gale
2020年1月31日 17:34 JST
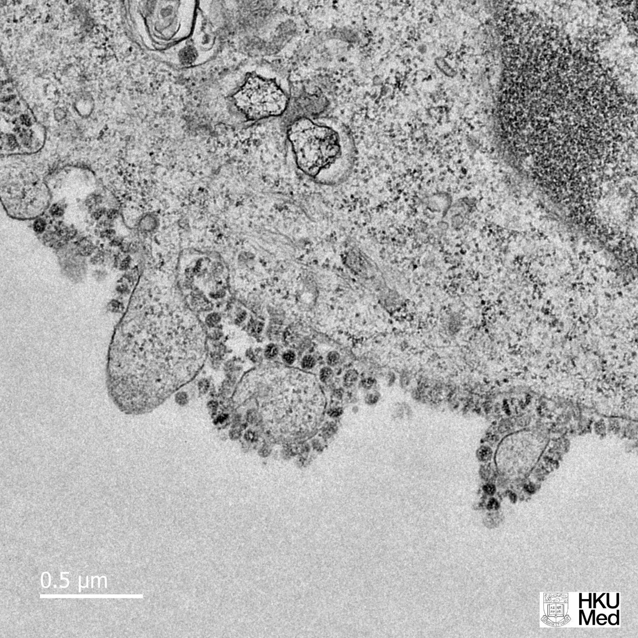
Here Are the First Images of How Coronavirus Replicates in Cells
香港大学、新型コロナウイルスの体内細胞内での増殖画像を公開 感染した細胞から数千のウイルス粒子が他の細胞に感染・増殖 -
>>1340
危険な写真らしい
-
>>1340
参考資料
4種類のタンパク質
GTNGTKR
HKNNKS
GDSSSG
QTNSPRRA -
>>1340
1 日前 - 世界的な微生物学者フランク・プラマー(Frank Plummer)が2月4日、ケニアで行われた研究会に出席中に心臓発作で死亡した。享年67歳。彼はSARS・H1N1亜型・エボラウイルスの権威ある専門家だった。インドのメディアは「武漢肺炎が流行する中、恐らく彼の死因は単純ではない」と伝えている
-
>>1340
参考資料
-
>>1340
取扱厳重注意 参考情報
孫向文さん翻訳の武漢P4実験室・武小華博士の内部告発文
コウモリのコロナウイルスが直接人間に感染出来るようになるためには、大量の人間が毎日のようにコウモリを生で食べ続ける必要がある。コウモリから直接に人間へ渡るのは不可能。Sタンパクの差し替えはとても簡単。 -
>>1340
参考情報図
-
>>1340
中国軍の研究機関 新型コロナウイルスのワクチン臨床試験へ
2020年3月18日 0時53分新型コロナウイルス
国営の中国中央テレビは、中国軍の研究機関が新型コロナウイルスのワクチンの臨床試験を行うことになったと伝えました。
中国中央テレビによりますと、臨床試験を行うのは軍事科学院軍事医学研究院の陳薇研究員のチームで、16日、当局から実施の承認を得たということです。
研究チームは、遺伝子を人工的に組み換えた新型コロナウイルスのワクチンの開発を目指しているということで、インタビューの中で陳研究員は、「国際的なルールに従って、安全で効果的なワクチンを開発するための初期的な準備を行った。いつでも試験を始めることができる」と話しています。
NHK -
2877
>>1340
新型コロナウイルスSARS-CoV-2のモデル(2020年3月16日提供)。(c)AFP PHOTO /NATIONAL INSTITUTES OF HEALTH/NIAD-RML/HANDOUT
-
2878
>>1340
新型コロナウイルスの彩色イメージ(2020年3月3日作成)。(c)John SAEKI / AFP
-
>>1340
1月末、中国で感染が広がり始めた頃、フランスでもこの「ウイルスセンターからの漏洩の可能性」説が噂として流れたことがあったが、これはまもなく、フェイクニュース扱いされ沈静化した。
モンタニエ博士によると、自分たちより先にインドの科学者が同様の研究発表をした、とのことだった。
しかし、それらは(どういう理由かわからないけれど)強い圧力によって却下されてしまったのだという。(研究論文は削除され、URLには論文のタイトルしか残ってない)モンタニエ博士は「自分はもう高齢(87歳)だし、圧力など怖くない。科学的な真実というものは必ず明らかになるものだ」と語った。
調べてみると、確かにインドのデリー大学とインド理工学院に所属する研究者たちが新型コロナウイルスとSARSウイルスの棘突起タンパク質の配列を比較したという記事が出てくる。BFMTVのワシントン特派員の報告によると、アメリカの政府関係者が、武漢ウイルス研究所にいた研究生が誤って感染し広めた可能性がある、と語った。
この研究生が世界中の人々をこれほどまでに苦しめている新型コロナの感染者0号なのだろうか? 新型ウイルスが人工的であると信じる科学者はまだ少ないが、人工的ではないにしても、武漢ウイルス研究所となんらかの関わりがあってもおかしくないと考える人が増えつつある。
そこへ来ての、今回のモンタニエ博士の発言、この問題の解明が進むかもしれない。モンタニエ博士は「新型コロナは武漢の市場からはじまったとなっているが、それは美しい伝説でしかない(web site pourquoi docteur?より)」と付け加えている。
パリ最新情報「フランスメディアを騒がす、新型コロナの正体」
Posted on 2020/04/18Design Stories -
>>1340
パリ最新情報「フランスメディアを騒がす、新型コロナの正体」
Posted on 2020/04/18
Design Stories
某月某日、パリで連日、CNEWSやBFMTV、パリジャン、ルモンド紙など、フランスのほぼすべてのメディアが取り上げているのが「新型コロナは本当に武漢の市場から出現したのか?」という話題。
この件について、マクロン大統領までもが、中国は何かを隠している、と匂わせる発言をし、今、テレビはどこを付けても、このニュースばかり。
もともとあった話しだが、ここに来て再度、コロナウイルスの出どころが実は市場ではなく、武漢のウイルス研究所だったという流れに戻って来た。ノーベル賞を受賞したエイズウイルスの権威が登場し、新型コロナは人工的に作られたものだ、と言い切ったものだから、騒ぎに火がついた。
エイズ ウイルス(HIV)を発見したことで2008年にノーベル生理学医学賞を受賞したリュック・モンタニエ博士が、「新型コロナウイルスは中国武漢にあるウイルス研究所から事故的に漏洩してしまった、人工操作されたウイルスだ」と発言したのである。もともと、噂があった話だけれど、ノーベル賞受賞博士の爆弾発言だけに、人々の関心を集めている。
博士は発表の中で、新型コロナウイルスSARS-CoV-2の中にエイズウイルス(HIV)が含まれている、と語った。
モンタニエ博士とタッグを組んでいる数学者ジャン・クロード・ペレズ氏によると、「これは時計職人が行うような精密なもので、自然に存在することはあり得ない」としている。武漢のウイルスセンターはもともとダニ媒介ウイルスの研究から始まり、長くコロナウイルスの一種であるSRASやエボラウイルスの研究をしている。(実はこの研究所はフランス政府と中国政府の共同事業として誕生した施設でもあった) -
4223
>>1340
新型コロナウイルスのメインプロテアーゼ(Mpro)の立体構造 2
-
5841
>>1340
コロナウイルス構造タンパクのエンベロープ糖タンパクエピトープを認識する抗体設計2020年2月25日
-
>>1340
Disclose.tv 13時間
JUST IN - COVID-19 "has NO credible natural ancestor," has "unique fingerprints" of man-made manipulation, and "retro-engineering" was applied to make it seem like it naturally arose from bats, British and Norwegian researchers claim in a new study (Daily Mail)
Disclose.tv 13時間だ
JUST IN - COVID-19は「信頼できる自然の祖先を持っていない」、人工操作の「ユニークな指紋」を持っており、それがコウモリから自然に生まれたように見せるために「レトロエンジニアリング」が適用され、英国とノルウェーの研究者は新しい研究で主張しています(デイリーメール)

鳳凰
kosumosu.qpmr







インドの科学者より 参考資料 参考写真
投資の参考になりましたか?